Fizyoterapist
İ h s a n A L A C A

Profesyonel Fizyoterapi Kliniğine Hoşgeldiniz

  • Caddebostan, Hasan Ali Yücel Sk. 26/A, 34726 Kadıköy / İstanbul
  • Çalışma Saatlerimiz 09:00 & 18:00

Evde Multipl Skleroz (MS)
Tedavisi, Rehabilitasyonu









TEDAVİLERİMİZ

Evde Multipl Skleroz (MS) Tedavisi, Rehabilitasyonu

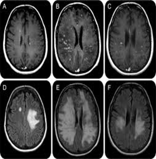
Multipl Skleroz (MS) merkezi sinir sisteminde pek çok yeri farklı ya da eş zamanlı olarak etkileyebilen bir hastalıktır. Hastalık; beyin ve omuriliğin hasarlı alanlarında sklerozan plaklar, yani sertleşmiş dokular oluşturur (RESİM 1). MS hastalığı daha çok 20 ila 40 yaşlar arasındaki yetişkinlerde görülmektedir. Daha erken veya daha ileri yaşlarda görülme olasılığı oldukça azalmaktadır.

Klinikte Multipl Skleroz (MS) Tedavisi, Rehabilitasyonu

MS Hastalığı (Multipl Skleroz) ataksız veya ataklar şeklinde seyredebilen bir hastalıktır. Ataklar hastaların %85’inde ataklı olarak algılanabilir. Bunlar; daha kişide var olmayan kol veya bacaklarda güçsüzlük, görmede bozukluk veya denge gibi sorunların 24 saat boyunca devam etmesine denir. Günümüzde MS tedavisinde çok sayıda ilaç seçeneği bulunuyor. Hastanın atakları ve hastalığın şiddetine göre hangi ilaca başlayacağına karar veriliyor. Ataklar erken dönemde kontrol altına alındığında, bu atakların yaratacağı hasar da engellenmiş oluyor.

Bugün hem MS hastalığının daha kötüye gitmesine engel olacak, hem de alevlenmeleri yatıştıracak birçok ilaç tedavide kullanılıyor. Bununla birlikte, fizik tedavi gibi farklı rehabilitasyon türleri de kişinin ev ve iş hayatında yardımcı olabiliyor. MS, kronik bir hastalık olduğundan hem kaliteli uzun bir yaşam, hem de atakların önüne geçebilmek için egzersiz de önem taşıyor. Egzersiz, zayıf kasların neden olduğu problemleri önleyebiliyor, mesane ve bağırsak problemlerinin çözümüne de destek sağlıyor.

Biz de 22 senelik Multipl Skleroz (MS) Rehabilitasyonu deneyimi ile birlikte hastalarımızı tedavi ediyor gerekirse kliniğimizde de tedaviye alıyoruz. Bu deneyimlerimiz ve bilgilerimiz sayesinde Acıbadem üniversitesinde nörolojik hastalıklar ve rehabilitasyon dersleri vererek fizyoterapist öğrencilerimizi de eğitiyoruz.
Bizimle iletişime geçin lütfen…

Bize Ulaşın

0532 493 83 14

Herhangi Bir Hastalığınız Varsa Bize Ulaşabilirsiniz